The Obvious
Isn’t Always Obvious


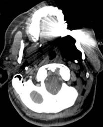
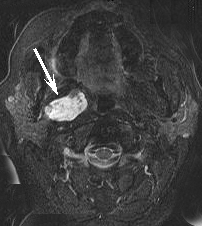
CT SCAN MRI
SCAN
CT Scan and MR Scan from the same patient on the same day. On the left, metal scatter artifact from metallic fillings in the teeth almost completely obscure a tumor that is easily seen by MRI using metal suppressing techniques on the right.
NEXT ->